初診時のレントゲン写真

| 主訴 | 前歯の最終的な被せ物を入れたい 歯茎が下がっている ことの改善 |
|---|---|
| 年齢 | 27歳 |
| 性別 | 男性 |
| 喫煙 | なし |
| 経過 | 1年半前に事故で 歯が折れた為、右上前歯を抜歯。 抜歯をしたところの歯茎が退縮しており、審美改善希望。 |
| 治療期間 | 8ヶ月 |
| 治療費 | 90,000円 |
| 治療内容 | 結合組織移植術 |
| 治療のリスク | 増やす部位や量によっては何度かオペが必要になる場合がある |
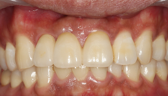
初診時
抜歯の影響により歯肉の陥没を認める。
審美性、清掃性の点からCTG(結合組織移植術)が
必要である。
治療の様子
CTG(結合組織移植術)

オペ翌日
術前
術後1ヶ月後
術後7ヶ月後
初診時
補綴物set時
治療後の様子
CTGにより歯肉の厚みを獲得出来たことで審美性および清掃性の改善を図る事ができた。

